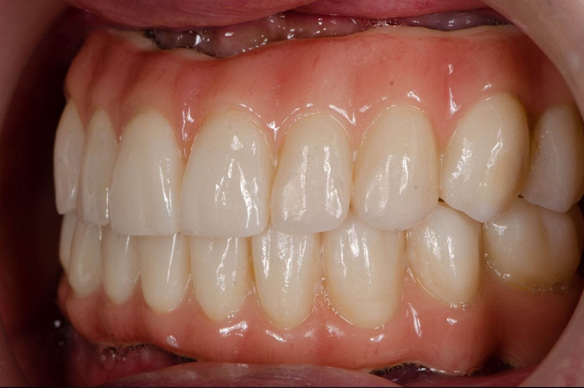
ALL on 4
A & B dental offer their clients the All on 4 restorative implant dentures and full arch zirconia frames over a titanium bar.
Through perfect planning we can complete our all on 4 dentures between 1-3 days.
Our advanced digital surgical guides can limit this process to an instant insert with our revolutionary stackable surgical guides.
Please contact us to enquire


